Call Us

+91 9009011221

Email

info@drvishalyadav.com

Office Hours

Sat - Wed : 8:00 - 4:00

Foot Problem

Understanding Common Foot Problems

Foot problems are more than just discomfort — they can affect your mobility, posture, and overall health. Many people ignore minor issues until they become serious.

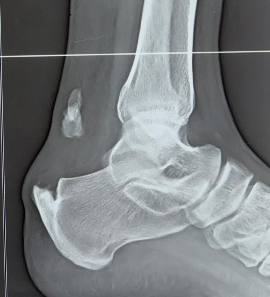
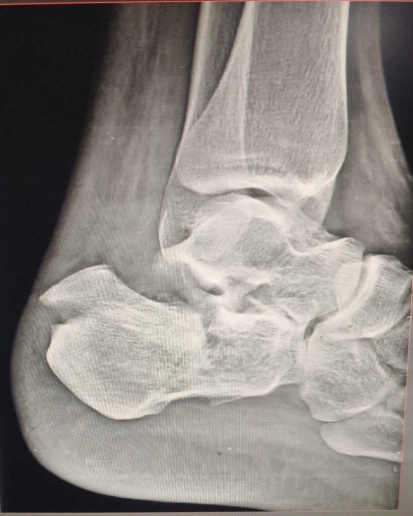
								Minimal invasive calcaneum fracture surgery                                </p>

Minimal invasive calcaneum fracture surgery

Minimal invasive calcaneum surgery repairs heel fractures with small cuts, less pain, and quicker recovery.
Tendon Achilles Problem

Tendon Achilles Problem

Achilles tendon rupture can be associated with risk factors such as excessive physical activity, improper footwear, tight calf muscles, and certain medical conditions .
Hammer Toe Surgery

Hammer Toe Surgery

Hammer toe surgery, also known as hammertoe correction surgery, is a surgical procedure performed to correct a deformity called hammer toe. Hammer toe
Bunion

Bunion

Bunion surgery, also known as bunionectomy or hallux valgus correction surgery, is a surgical procedure performed to correct a bunion. A bunion is a bony…

How to get a
consultation from us?

Once you’ve agreed on a suitable date and time, make sure to confirm your appointment with the clinic. You may fill the form with Required Details and you will recieve the confirmation from us before your visit.
 
Our goal is to deliver quality of care in a courteous, respectful, and compassionate manner. We hope you will allow us to care for you and strive to be the first and best choice for your family healthcare.

Contact

info@drvishalyadav.com

+91 9009011221

Medicare Hospital
4/5, Old Palasia, Ravindra Nagar, Indore, Madhya Pradesh 452018

Aarambh Clinic
25 DF scheme no 74 niranjanpur road
near brilliant convention center and Karnataka bank, Indore (M.P.) - 452010

© 2025  All Rights Reserved by Dr. Vishal Yadav | Created by Mediconeckt