Expert care for all your foot and ankle problems. From injuries to long-term pain, Dr. Vishal Yadav provides personalized treatment to help you walk pain-free and live better.
About Us
Improving The Quality Of Your Life Through Better Health.
Our goal is to deliver quality of care in a courteous, respectful, and compassionate manner. We hope you will allow us to care for you and strive to be the first and best choice for healthcare.
Minimally Invasive Surgery (MIS) :
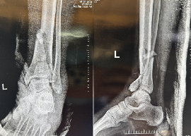
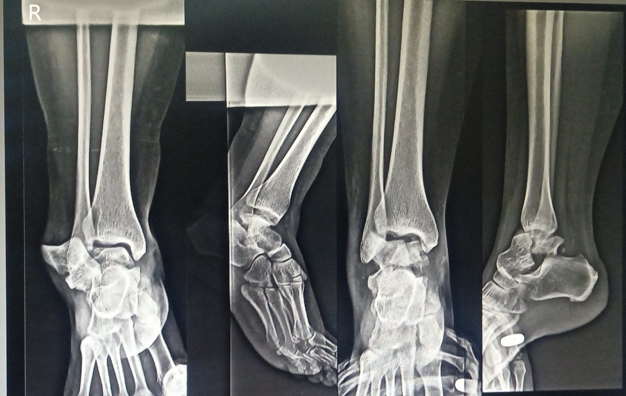
- Ankle Arthroscopy
- Endoscopic Calcaneoplasty
- Posterior Arthroscopy



















