About Treatment

Lisfranc Injury Treatment

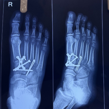
Lisfranc injury treatment includes immobilization, rest, pain management, and physiotherapy. Moderate to severe cases may require surgical fixation, followed by structured rehabilitation programs to restore stability, improve mobility, and ensure proper long term recovery.

.

How to get a
consultation from us?

Once you’ve agreed on a suitable date and time, make sure to confirm your appointment with the clinic. You may fill the form with Required Details and you will recieve the confirmation from us before your visit.
 
Our goal is to deliver quality of care in a courteous, respectful, and compassionate manner. We hope you will allow us to care for you and strive to be the first and best choice for your family healthcare.

Contact

Medicare Hospital
4/5, Old Palasia, Ravindra Nagar, Indore, Madhya Pradesh 452018

Aarambh Clinic
25 DF scheme no 74 niranjanpur road
near brilliant convention center and Karnataka bank, Indore (M.P.) - 452010

© 2026  All Rights Reserved by Dr. Vishal Yadav | Created by Mediconeckt