
Explore photos of our space, advanced treatments, and real patient care—showcasing a warm, professional, and healing environment.









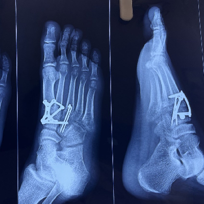
Cavus Foot की सर्जरी के बाद, मरीज अब आराम से चल पा रहा है।
Equino-Cavo-Varus is a complex foot deformity involving high arches, inward heel turning, and toe pointing. Treatment often includes surgery, bracing, or physiotherapy to restore proper alignment and function.
Contact
info@drvishalyadav.com
+91 9009011221
Medicare Hospital
4/5, Old Palasia, Ravindra Nagar, Indore, Madhya Pradesh 452018
Aarambh Clinic
25 DF scheme no 74 niranjanpur road
near brilliant convention center and Karnataka bank, Indore (M.P.) - 452010
© 2025 All Rights Reserved by Dr. Vishal Yadav | Created by Mediconeckt